有的时候照镜子或者给孩子检查口腔卫生的时候,发现牙齿上有黑点,以为只是没刷干净牙而已,其实可能牙齿下面已经发生了严重的蛀牙。
这个不是危言耸听!
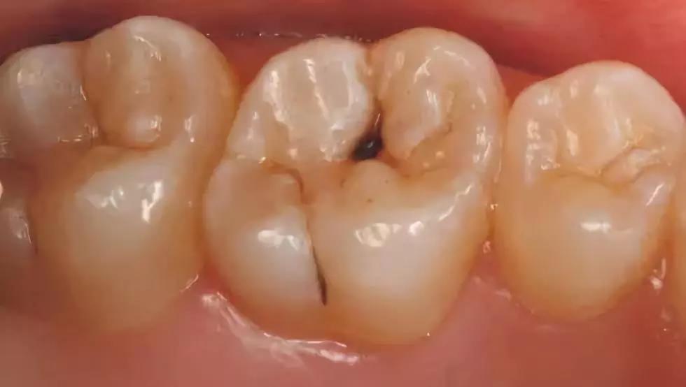
我们来看下以下案例:水女士发现自己后面的磨牙上面老是刷不干净,找牙医给她看了一下,发现已经严重蛀牙了,而且除了牙面上蛀牙之外颊侧的生长沟也发生了蛀牙。
黑色框的位置开口后,清理蛀牙的位置暴露出的蛀洞面积和深度都接近穿髓,牙面窝沟龋位置也是面积大深度深。在清理前牙面连蛀牙的洞都没有。补过之后几乎看不出来原来位置有蛀牙。
为什么会发生这样情况的蛀牙
左上侧红圈面颊侧的生长沟部分人是没有完成闭合的,加上该位置是颊侧,清洁频率低,蛀牙概率发生强度就会大很多。右上侧咬合面窝沟龋齿的原因是,部分人窝沟成年后还是比较深,再加上右下侧窝沟裂隙未进行填充,蛀牙的概率发生强度就上升很多。
如何防止这种情况
1、清洁频率和清洁位置要充分到位:一天两次的刷牙频率和时常要保证,饮食后漱口清洁必须执行,清洁位置包括牙齿的三个面即咬合面、舌侧、颊侧面。
2、牙医执行的口腔检查和超声波洗牙:一套口腔检查下来,即能快速发现口腔存在问题也能有效排除潜在风险。超声波洁牙是对牙结石、软垢、牙菌斑等一次有效清洁,保护牙龈和牙釉质不被损害。
3、果断治疗:遵从医嘱,果断治疗,不要等损害面持续扩大后造成严重影响再做治疗。
4、窝沟封闭:无论儿童或者成人在窝沟比较深的情况下,都应该进行窝沟封闭治疗。
常见的窝沟龋齿
根管治疗和补牙有什么不同?
补牙是针对未损伤到牙神经的龋洞进行清洁修复的一个过程,保护牙本质不再被损害不再进而影响到牙髓和牙神经。
根管治疗是将牙神经抽离冲洗干净再进行填充,使牙疼不再发生。但是根管治疗后,牙已经失活了,会逐渐变脆发黑,容易崩解。
上一篇: 概念普及:什么是窝沟封闭工程?
-
2018-11-13
概念普及:什么是窝沟封闭工程?
-
2019-12-31
缺牙也能快速“重生” 种牙还能创口小、恢复快,还不疼?
-
2019-12-24
口腔有“空洞”吃得不香伤健康 来找专家选择即刻种牙“即刻用”
-
2019-12-17
缺牙拖延徒增种牙难度 方案丰富满足不同需求
-
2019-12-10
长期缺牙“偷走”健康和金钱 种植牙切莫错过黄金期
-
2019-12-03
缺牙及时修复其实很简单 只需一顿饭功夫种好满口牙
-
2019-11-26
新技术,全口无牙中老年人 种 8 颗植体,恢复好牙吃东西
-
2019-11-19
技术精湛种颗牙,十几分钟就够了