“地包天”最佳治疗时间是什么?

口腔正畸 | 日期:2019-03-24 人气:3306

“地包天”最佳治疗时间是什么?

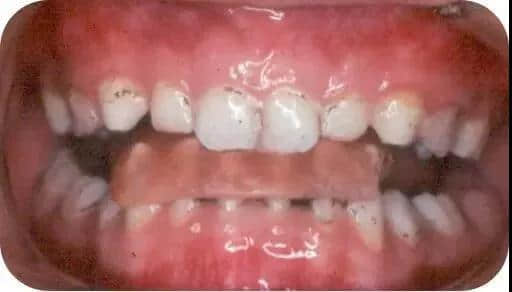
什么是“地包天”?

专业地说,儿童乳牙期“地包天”,就是乳下前牙咬合于乳上前牙唇侧,也叫乳前牙反颌简单说,就是下面牙齿把上面牙齿款到了,限制了上面牙齿和骨头的发育。那有什么后果呢?

 地包天.jpg

地包天”的后果

儿童“地包天”很有阔能引起娃娃身心都受挫哦!牙齿不整齐、下巴总是往前伸,不仅看起来不好看,还要影响咀嚼功能、发音、颞下颌关节发育,最恼火滴是对好多娃娃心理健康影响大,搞得娃娃都没得自信了!当娃娃越长越大,症状还可能加重,下巴前突,面型畸变,更严重的还可能会变成朱元璋一样的“鞋拔子脸”、“半月脸”! 

造成“地包天”的原因

是我们当爸妈的造成的地包天哟?“地包天”的病因多得很,父母遗传只是其中一个,它还和先天性疾病、全身性疾病、儿童口腔不良习惯(前伸下颌、吮唇等)、不恰当的喂养方式(平卧喂养)、乳尖牙磨耗不足等各种因素有关。 

预/防/指/南

·         纠正不良的哺乳习惯。提倡母乳,使用正确的喂养姿势,约45°的斜卧位或半卧位。

                      ·         治疗扁桃体肥大,保持口鼻腔呼吸道通畅,预防下颌前伸。

                      ·         尽早破除口腔不良习惯,不要老是吮指头,不要总是习惯性地把下巴往前伸

“地包天”的矫治

那我家娃儿已经地包天了,怎么办嘛?根据娃娃不同患病情况,医生会选择不同的矫治方法(请一定先咨询医生哦!)

01

调磨法

这里必须强调一哈,调磨法一定要医生进行操作,千万莫私自行动。一般情况下,两周调磨一次,1-3个月就可以纠正“地包天”了。

地包天4.jpg 

02

咬撬法

选择压舌板或牙刷柄,每天咬撬木板三次,每次大约2分钟(约20下),每两周复诊,1-3个月就阔以有效纠正“地包天”。

 地包天5.jpg

03

上颌颌垫活动矫治器

简单点说,就是喊你把这个上颌颌垫活动矫治器戴到起。

 地包天6.jpg

04

下颌斜面导板矫治器

还是简单点说,喊你把这个下颌斜面导板矫治器戴到起。你是不是要问“那跟上面那个有啥不同嘛”?回答:因为娃娃的患病情况不同嘛!

 地包天7.jpg

05

头帽颏兜

比较严重的下巴往前突,可以先前期佩戴头帽颏兜,就是下面这个看起来像个兜兜儿的东西,状况缓解后再把上颌颌垫式矫治器戴起。

地包天9.jpg 

06

功能调节器(简称FR-Ⅲ) 

看起来是有点不美观哈,但总比一直“地包天”不美观好撒!

地包天10.jpg 

07

前方牵引

没得错,这也是一个让你长期戴的矫治器。

地包天12.jpg 

划重点

一旦确诊“地包天”,在娃娃能配合的情况下尽早矫治,以阻断畸形加重,促进颌骨的正常发育。

儿童“地包天”的最佳矫治年龄为3~4 岁,疗程3~6个月。因为这个阶段乳牙根发育完全了,儿童也比较容易配合。



上一篇: 牙齿矫正中的扩弓会让脸变大?

下一篇: 龅牙矫正后需要4大护理

相关内容
  • 波浪
  • 波浪
  • 波浪
  • 波浪