儿童口腔涂氟是什么?有什么好处吗?

儿童口腔 | 日期:2019-01-23 人气:4146

儿童口腔涂氟是什么?有什么好处吗?

牙齿是我们身体中重要的咀嚼器官。不仅仅是吃饭和咀嚼的作用,一口整洁的雪白牙齿还可以给个人颜值加分。对许多孩子来说,总是蛀牙,对身心健康很不利。1989年以来大家对儿童口腔健康问题的关注逐渐提高,儿童牙齿涂氟问题也逐渐引起大家关注。许多家长在要不要给儿童的牙齿涂氟的问题中犹豫不决。绝大多数父母只是在孩子有龋齿后才会开始寻找相关的治疗,却不知道,最佳防护时期已经过去,儿童牙齿涂氟护理需要从几个月的宝宝开始做起。

6ef502702d3646d985ecdface93734f7_th.jpg

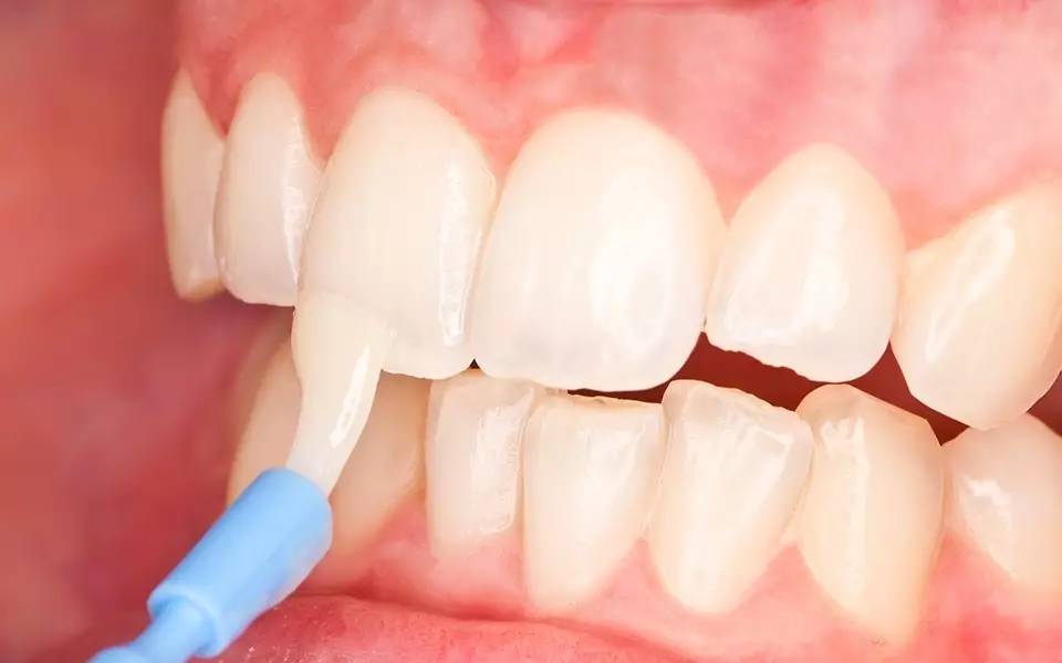
什么是涂氟治疗

涂氟治疗,即为牙齿涂布氟保护漆。形象地说,涂氟就像是给牙齿穿上一件薄薄的防龋衣,在短时间内,为牙齿局部提供较高浓度的氟,增强牙齿的抗龋能力。涂氟作为一种近年来越来越流行的抗龋方法,它在国外早就开展多年,是一种常规的儿童牙齿保健的方法。

孩子涂氟,安全吗?

很多家长担心使用氟化物会导致氟中毒或者氟斑牙等,其实不用担心,因为专业的医生操作用量都有严格的标准。医生还会根据情况决定涂氟的时间和频率。不过在使用中,还是要减少吞咽。

多大的儿童适宜进行牙齿涂氟 ?

美国儿童齿科学会(AAPD)相关指南也曾建议鼓励对所有面临蛀牙风险的儿童给以专业的氟制剂治疗手段,并没有对涂氟的使用做出明确年龄的限制。但是,考虑到小朋友的配合程度,所以涂氟一般在三岁之后由专业人士进行涂氟预防,每年两次,高危儿童可以增加涂氟次数。儿童最好从3岁开始,每半年涂一次,到6岁为止。氟化泡沫防龋齿是运用泡沫的形式,使牙齿表面和缝隙附着泡沫,释放氟化物,防龋齿。一般情况下,所有的孩子都可以用氟化泡沫预防龋齿。

牙齿涂氟的方法

牙科医生将带有果味的氟化涂物涂到牙齿表面,每次只需1分钟,不会让宝宝有任何的痛苦,特别是对刚长出的牙齿效果更佳。涂氟后半小时至一个小时,宝宝不要喝水、喝饮料或吃东西漱口。

儿童涂氟注意事项

涂氟后,氟化物需在牙齿上短时间留存,以保证有足够浓度的氟能够留下来并固化。所以,当涂氟完毕之后要注意以下两点:1.半小时内不要喝水、漱口;2.四小时内尽量不要进食,当天也不需要刷牙。

好的治疗不如好的预防,好的预防不如好的习惯,坚持做好饭好漱口,每半年看一次牙科医生,才可将口腔环境维护好。



上一篇: 龋齿预防:从娃娃抓起

下一篇: 预成冠小孩子蛀牙最后一道防线

相关内容
  • 波浪
  • 波浪
  • 波浪
  • 波浪